Η θλάση των οπίσθιων μηριαίων μυών αποτελεί έναν από τους πιο κοινούς μυοσκελετικούς τραυματισμούς αθλητών αλλά και ατόμων που ασχολούνται με χειρωνακτικά επαγγέλματα και ήπια άθληση όπως ορειβασία και περπάτημα.
Εμφανίζεται πολύ συχνά σε ποδοσφαιριστές, επαγγελματίες η και ερασιτέχνες και είναι ένα από τα συχνότερα αίτια αποχής από τους αγωνιστικούς χώρους αλλά και την εργασία σε περιπτώσεις ατόμων με επαγγέλματα ορθοστασίας.
ΠΟΙΟΙ ΕΙΝΑΙ ΟΙ ΟΠΙΣΘΙΟΙ ΜΗΡΙΑΙΟΙ ΜΥΕΣ ΚΑΙ ΠΟΥ ΒΡΙΣΚΟΝΤΑΙ?
Οι οπίσθιοι μηριαίοι αποτελούνται από τρεις διαφορετικούς μύες, τον ημιτενοντώδη, τον ημιϋμενώδη και τον δικέφαλο μηριαίο. Βρίσκονται στην οπίσθια επιφάνεια του μηρού και η κύρια λειτουργία τους είναι η κάμψη του γόνατος κατά την βάδιση και το τρέξιμο.
ΤΙ ΕΙΝΑΙ Η ΘΛΑΣΗ ΤΩΝ ΟΠΙΣΘΙΩΝ ΜΗΡΙΑΙΩΝ ΚΑΙ ΠΟΙΑ ΤΑ ΣΥΜΠΤΩΜΑΤΑ
Η θλάση ορίζεται ως η μερική ή ολική ρήξη των μυϊκών ινών ή ακόμα και ολόκληρου του οπίσθιου μηριαίου μυός. Μπορεί να επηρεάσει έναν ή και παραπάνω από τους οπίσθιους μύες του μηρού και ανάλογα με τη βαρύτητα οι θλάσεις χωρίζονται σε 1ου, 2ου και 3ου βαθμού.
Τα συμπτώματα της θλάσης ανάλογα με τη βαρύτητα μπορεί να είναι από ήπιο πόνο και περιορισμό στην κίνηση του γόνατος ως και έντονο πόνο με το σχηματισμό πρηξίματος και αιματώματος στην περιοχή της ρήξης με ελάχιστη κινητικότητα του γόνατος.
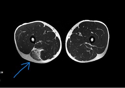
ΠΩΣ ΓΙΝΕΤΑΙ Η ΕΓΚΑΙΡΗ ΔΙΑΓΝΩΣΗ ΤΗΣ ΘΛΑΣΗΣ ΤΩΝ ΟΠΙΣΘΙΩΝ ΜΗΡΙΑΙΩΝ ΚΑΙ Η ΑΜΕΣΗ ΕΝΑΡΞΗ ΤΗΣ ΚΑΤΑΛΛΗΛΗΣ ΘΕΡΑΠΕΙΑΣ;
Η έγκαιρη διάγνωση της θλάσης πραγματοποιείται από τον Ορθοπεδικό χειρουργό με εξειδίκευση στην αντιμετώπιση αθλητικών κακώσεων στο ειδικά εξοπλισμένο ιατρείο με συνδυασμό λεπτομερούς κλινικής εξέτασης και υπερηχογραφικού ελέγχου των τραυματισμένων μυών. Σε ορισμένες περιπτώσεις μπορεί να χρειαστεί ο απεικονιστικός έλεγχος με μαγνητική τομογραφία.
![]()
Η άμεση έναρξη της κατάλληλης συντηρητικής θεραπείας με επίδεση και παγοθεραπεία σε συνδυασμό με κατάλληλες φυσιοθεραπείες είναι απαραίτητη για ένα καλό αποτέλεσμα. Για την ταχύτερη και πιο αποτελεσματική επούλωση των τραυματισμένων μυών στο ορθοπεδικό μας ιατρείο πραγματοποιούμε υπερηχογραφικά καθοδηγούμενες εγχύσεις ενζύμων και κολλαγόνου που βοηθούν στην πλήρη ανάπλαση των μυϊκών ινών που έχουν κοπεί και βοηθούν στην πρόληψη των υποτροπών.
Επικοινωνήστε μαζί μας για μία πλήρη κλινική και υπερηχογραφική εξέταση των οπίσθιων μηριαίων από τον εξειδικευμένο στις αθλητικές κακώσεις Ορθοπεδικό χειρουργό.

